野球肘のお悩みなら
四街道市のまとばスポーツ整骨院へ
☑︎ボールを投げると肘が痛い。
☑︎バットを振ると肘が痛い。
☑︎全力でボールを投げられず、投げるのが怖い。
☑︎肘を曲げ伸ばしができず、日常生活にも支障が出てきている。
☑︎痛みが引いたと思って投げるとまた痛くなる。
☑︎子供の痛みだから分からず心配。
野球肘でお困りの方もお任せください!
野球肘には初期であれば軽い炎症で早期回復するものから、重傷になると肘が曲げ伸ばしできなくなり、手術が必要になることもあります。
ですから、子供の痛みはたいしたことないと放っておくと気づかないあいだに悪くなっている、ということもありますのでしっかりと検査をし、子供たちの将来を潰さないよう注意が必要なのです。
私も野球肘、野球肩でピッチャーを諦めることになりました。
ですから、そういった経験を多くの子供たちにさせないよう、しっかりとした野球肘の知識、検査、また投球フォームのポイントを伝えられるよう経験をつんできました。
きっとお役に立てると思います。
野球肘チェック
野球肘のチェック①
投球側の肘の内側のあたりを押して痛みがあると野球肘です。
ピッチャーはもちろん野手でもほとんどの人が多少の痛みの経験があると思います。
これは、前腕の筋肉の使いすぎが原因で起こる上腕骨内側上顆炎と言われるものです。
速いボールを投げたり、遠くにボールを投げようとするほど肘への負担は大きくなり、投球動作を繰り返していると筋肉、腱に微細損傷が生じ、圧痛がでます。
野球肘のチェック②
肘を曲げて、手を外側に押した時に肘の内側が痛いときは靭帯痛めている可能性がありますので注意が必要です。
なぜなら、靱帯は一度切れてしまうと元に戻らないので、元に戻すには手術をして靭帯をつなげるか特殊な注射を打つくらいしか治療方法がありません。
靱帯が切れてからでは遅いので、こういった症状が見られた場合は至急ご連絡ください。
野球肘のチェック③
肘の外側に出る痛みも注意が必要です。
子供の成長期の場合、投げすぎなどで繰り返し肘の外側へのストレスで軟骨を痛めてしまったり壊死してしまうことがあります。
しっかり治さないと変形や曲げ伸ばしがしっかりできなくなってしまい、今後の野球人生や日常生活にも影響してしまうので早期の受診をお勧めします。
これらの症状は、早期発見ができ症状が軽度のものであれば、治療と投げ方の修正ができれば手術せずに投げられるようになるのでしっかりと状態を把握することが大切です。
野球肘に関連するのはしっかりとしたフォームで投げることができず
無理して手首を使うことです。
肘につく筋肉は全て手首を動かすのに使われます。
基本的にはしっかりとしたフォームで投げることができず、投げる瞬間に一番体から遠い手首で無理に補ってしまい肘を痛めてしまっています。
肘、手首が体の体幹から離れれば離れるほど遠心力は加わります。
体を回して使うスポーツでは回旋するスピードに腕が遅れてきてしまえば手首、肘に負担が大きくなるのです。
また
リリースポイントでの瞬間に肘が曲がってしまっているのもリスクになります。
どういった投球フォームで、どこに動作不良が起きているのかをしっかり見つけ、改善させ肘、手首へかかるストレスを減す事が大切です。
まずどこを痛めているのか?なにで痛いのかをしっかりと確認しましょう。こういった状態把握をすることで治療計画を明確にすることができます。
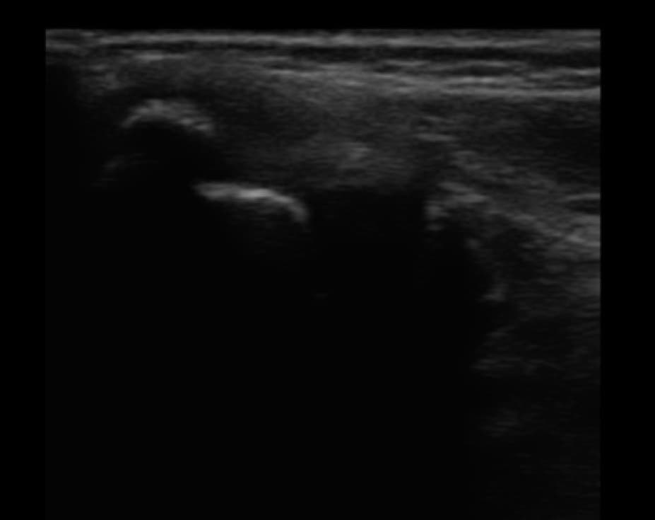
超波エコーによる画像検査
当院では、超音波エコー診断機を取り入れているので骨、靭帯、筋肉、軟骨の状態の把握が出来ます。
どの部分の痛みなのか、どのくらいの治療期間なのか、改善状況もしっかり確認出来るので治療計画が明確にたてられます。
また、重傷の場合や手術が必要な場合などはしっかりと専門機関への受診を勧めますのでご安心ください。
動作不良を起こしているかのフォームをチェック
フォームでチェックしなければいけないポイントはたくさんあります。
その部分をしっかりと見つけ出すため、鏡の前でのフォームチェックをしていき動画や画像として残し、共有しご自宅でのフォームチェックに使っていただきます。
プロ野球選手やオリンピック選手が使う最新の医療機器
まず痛みを取り除くには早く炎症を抑えることが大切です。
そして肘から手首の筋肉の緊張を取り除くことになります。
当院ではプロ野球選手やWBC(ワールドベースボールクラシック)で使われた、素早く炎症を抑え治癒を促進させる最新機器や、筋肉を素早く緩める治療機器が備わっています。
患者様の状態に合わせて使い分け痛み、筋肉の緊張を早期に取り除きます。
体の歪み、捻れに対するバランス矯正
しっかりと体の捻じれ歪みを確認し、うまく使えていない関節、筋肉の矯正を手技で改善させていきます。
肘が痛いからと言って肘だけマッサージしていても改善してきません。
肩甲骨の動きの悪さや猫背で腕が上に挙げられず肘が下がり痛めたり、股関節が硬くなったりしてクロスステップしてしまい、体の開きが早くなり痛めたりなどもあります。
しっかりと奥に隠れている原因を探し出し安全に治療を行います。
安定した体、体の連動性を意識したトレーニング
上記で話したように、体がうまく使えないから肘、手首に負担がかかるのです。動作不良を改善し体を正しい体の使い方を練習していきます。
はじめは自重から行い、正しい体の使い方を覚えたら負荷を増やしていきます。
軽くなら痛くないけど遠くに投げたり、早く投げようとすると痛いのは負荷が強くなった時にまた動作不良が起きるからです。ここが治ったと思ったのに再発してしまう原因です。
しっかりと再発しない体になるまで治療×トレーニングをすることが必要なのです。
Facebook最新情報
店舗所在地
| 〒284-0005 |
|---|
| 千葉県四街道市四街道1-20-2 モンフレール四街道A棟1-2 |
電話番号
| 043-308-3261 |
|---|
営業時間
| 月曜・火曜・木曜・金曜 9:30~12:30 15:30~21:00 |
|---|
| 水曜 9:30~12:30(事前予約のみ) 15:30~21:00 |
| 土曜 9:30~15:00(それ以降は事前予約のみ) |
| 日曜 事前予約のみ |
|---|
| 祝日 休み |
