足関節捻挫でお悩みなら
四街道市のまとばスポーツ整骨院へ
☑足首を捻ってしまった。
☑腫れが引かず折れていないか心配。
☑足首の痛みをこらえて練習している。
☑大会が近いのに足首を捻ってしまったがどうしても出たい。
☑何度も捻挫を繰り返してしまう。
☑捻挫をしてから足首が硬くなってしまった。
足関節捻挫を早期改善しませんか?
スポーツをしていて一番多いケガは足首の捻挫です。
歩くことが可能な軽い捻挫から骨折をともなう大ケガまでたくさんの人が足首を捻ってケガをします。
スポーツをやっている方は試合前に捻ってしまい出られないかもしれない、パフォーマンスが上がらないと悩んでいたりしないでしょうか?
私も野球をしているときに大きな捻挫をしてしまいました。
しかし、適切な処置、トレーニングを行わなかったことにより復帰が遅くなり、再発しやすい足首になってしまっていました。
練習できず見ているだけのつらさをよく覚えています。
日常生活でも簡単に捻ってしまう足首。
決して、「腫れていないから大丈夫だろう」「いつものことだから気にしなくていいや」と思わないことが大切です。
たいしたことないと思っても骨に傷があることもありますし、足首が悪くて歩き方や姿勢が変わってしまい膝や腰、首の痛みにも影響を起こしてしまうこともあるのです。
また、足首の捻挫は再発を繰り返しやすいケガです。
しかし、しっかりと再発防止のトレーニングを行えば、再発を予防できます。
皆さんは適切な状態確認、処置、再発防止トレーニングを行っているでしょうか?
当院は、足首の捻挫も一人一人にあった処置、生活指導を行っていきます。
試合前に捻挫をして出られないと決め切らず、また、癖になっているからと諦めず当院の施術を受けてみてはいかがでしょうか?
足首の捻挫は9割以上が内反捻挫で
外くるぶし周りの靭帯を痛めます。
まず、足首の捻挫には多いのは圧倒的に外くるぶしの周りの靭帯を痛めてしまうことです。
もちろん
内くるぶし周りを痛めることもありますが9割は外くるぶし周りです。
それはなぜか?
それは単純にくるぶしの位置が外くるぶしのほうが内くるぶしより下にあるからです。
そのため足首は外から内へ動く構造になっています。
そして損傷度はⅠ度、Ⅱ度、Ⅲ度として分けられます。
Ⅰ度:軽症で靭帯の一部が傷ついたもので、腫れや痛みはそれほど強くありません。
Ⅱ度:中等症で靭帯の部分断裂があり、痛み、腫れ、内出血も強く表れ、関節のゆるさが見られます。
Ⅲ度:重症で靭帯の完全断裂です。痛み、腫れ、内出血、関節のゆるさが強く表れ歩行困難となることが多いです。
また、捻挫と思っていたらくるぶしの一部がはがれていて剥離骨折していた。
ということもあり、損傷度により処置方法も違いますのでしっかりと状態把握が必要となります。
まず捻挫をしてしまったらどうすればいいのか?
それはRICE処置を行うことです。
R(Rest)=安静
運動は中止し、足首を動かさないようにしましょう。
I (Ice)=冷却
氷水を用意し、とにかく冷やしましょう。
C (Compression)=圧迫
サポーターや包帯、ギプス、テーピングなどで良いので関節を圧迫し安定させましょう。
E (Elevation)=挙上
横になり、足首を心臓より高い位置に置きましょう。
とにかく腫れを早く引かせることが、早期回復やパフォーマンス低下を防ぐポイントになります。
RICE処置を受傷直後に行えるかで回復速度も変わるので覚えておくといいでしょう。
損傷度にもよりますが、安静、圧迫は2~6週必要になります。
そして、重要なのは圧迫(包帯やギプス)が取れた後です。
固定後の足関節は可動域が狭くなることや、足首を安定させる筋力の低下、足の裏にあるメカノレセプターというバランスセンサーがうまく機能しなくなりバランスと崩しやすくなってしまいます。
これらが原因となり痛みが引いても再発してしまう原因となります。
この再発原因をどうするかが足関節捻挫の施術の重要ポイントです。
まとばスポーツ整骨院
足関節捻挫の施術
当院では、しっかりとした状況確認、適切な処置、再発防止トレーニングを行い再発予防まで行い、上記に挙げた2つのポイントをしっかりと施術していきます。
そのための当院で行う治療とは以下の手順で行います。
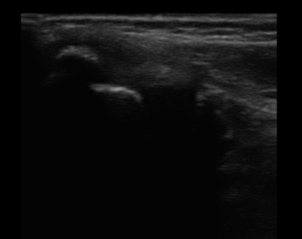
①画像診断を使ったしっかりとした状態把握
まず超音波エコーで画像診断を行い、炎症の程度、腫れの状態、剥離骨折を起こしていないかなどのチェックを画像診断でしっかりと行い、練習を休まなければいけないのか、などの判断や改善までの治療計画を考えていきます。
②最新機器での痛みの減少、治癒促進
痛みが出ている部分は炎症が出ています。
当院ではオリンピック選手も使っている疼痛抑制に強い最新機器を使い早期に炎症を取り、腫れを押さえます。
さらに、超音波治療を行い血行促進、代謝促進を行い痛み物質の早期除去を行っていきます。
③関節・筋肉のバランス矯正
足首の捻挫をすると靭帯を伸ばすことが多く、関節がゆるくなってしまいます。
すると関節のバランスを崩し再発の原因になります。
しっかりと手技を使いバランス矯正を行います。
④トレーニングによる柔軟性、安定性の獲得
手技による矯正を行い正しい体の位置にリセットされても、足の裏にあるメカノレセプターの機能が低下していると再発の可能性になります。
そのため、メカノレセプターの機能を上げるトレーニングや関節を安定させるトレーニングを行い再発防止していきます。
また、動作改善トレーニングを行い、足首をかばうことで起こる姿勢不良、動作不全を防ぎ腰の痛みや首の痛みを出さない体の使い方に変えていきます。
また大会などが近く、どうにかしてでも試合に出たい方にはテーピングの処置、指導も行っていきます。
Facebook最新情報
店舗所在地
| 〒284-0005 |
|---|
| 千葉県四街道市四街道1-20-2 モンフレール四街道A棟1-2 |
電話番号
| 043-308-3261 |
|---|
営業時間
| 月曜・火曜・木曜・金曜 9:30~12:30 15:30~21:00 |
|---|
| 水曜 9:30~12:30(事前予約のみ) 15:30~21:00 |
| 土曜 9:30~15:00(それ以降は事前予約のみ) |
| 日曜 事前予約のみ |
|---|
| 祝日 休み |
